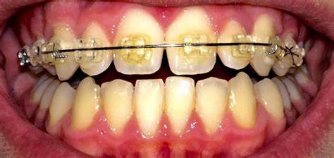
Brackeții aparatului dentar ceramic nu se pătează ușor, dar elasticele folosite pentru a-i fixa de arc da. Iată câteva sfaturi pentru a evita pătarea elasticelor:
- periați și folosiți ața dentară după fiecare masă. Acest lucru ajută la îndepărtarea resturilor alimentare care ar putea păta;
- evitați alimentele și băuturile care pătează sau decolorează. Indeosebi roșiile, vinul, cafeaua, ceaiul, sucurile carbogazoase sau condimentele precum ketchup-ul și muștarul;
- nu fumați. Fumatul poate lăsa pete gălbui pe dinți și pe toate componentele aparatului dentar;
- nu utilizați pastă de dinți pentru albire. Agenții de albire pot face ca suprafața dinților expuși să devină mai albă decât dintele de dedesubt.
Ce puteți face dacă observați pete sau decolorări?
Dacă observați că elasticele aparatului dentar și-au schimbat culoarea, discutați cu medicul ortodont. În funcție de necesitate, acestea pot fi înlocuite la următoarea programare. De asemenea, spălarea dinților imediat după consumul alimentelor care pătează și utilizarea apei de gură antibacteriene pot reduce riscul apariției petelor.
Bucurați-vă de un zâmbet sănătos în fiecare zi!
Un zâmbet îngrijit nu doar că oferă încredere, dar reflectă și sănătatea dumneavoastră orală. Periajul regulat, utilizarea aței dentare și evitarea alimentelor care pătează sunt pași esențiali pentru a menține frumusețea și sănătatea dinților.
Pe lângă rutina zilnică de îngrijire, vizitele regulate la medicul dentist ajută la prevenirea problemelor dentare și la menținerea unui zâmbet impecabil.
Alegeți să vă îngrijiți zâmbetul și bucurați-vă de fiecare zi cu încredere!
