Ortodonție

Aparat dentar Spark

Cele mai recente inovații în alignerele transparente sunt mai clare și mai confortabile.

Vezi cazuri reale

Avantaje

Ce face Spark diferit

Spark Clear Aligners

Mai multă precizie

Aliniatoarele Spark sunt create pentru un tratament discret și eficient, folosind materiale avansate pentru o mișcare dentară controlată. O soluție modernă pentru pacienții care își doresc un zâmbet aliniat fără compromisuri.

Mai mult

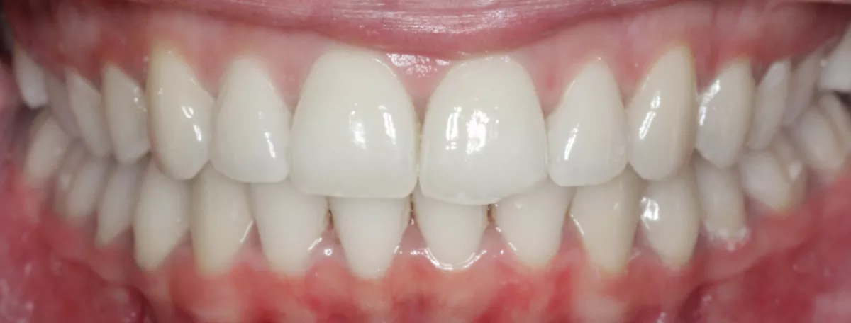
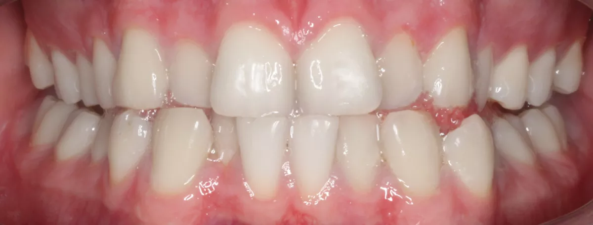
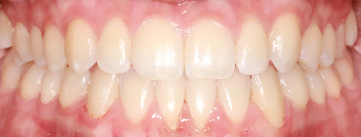
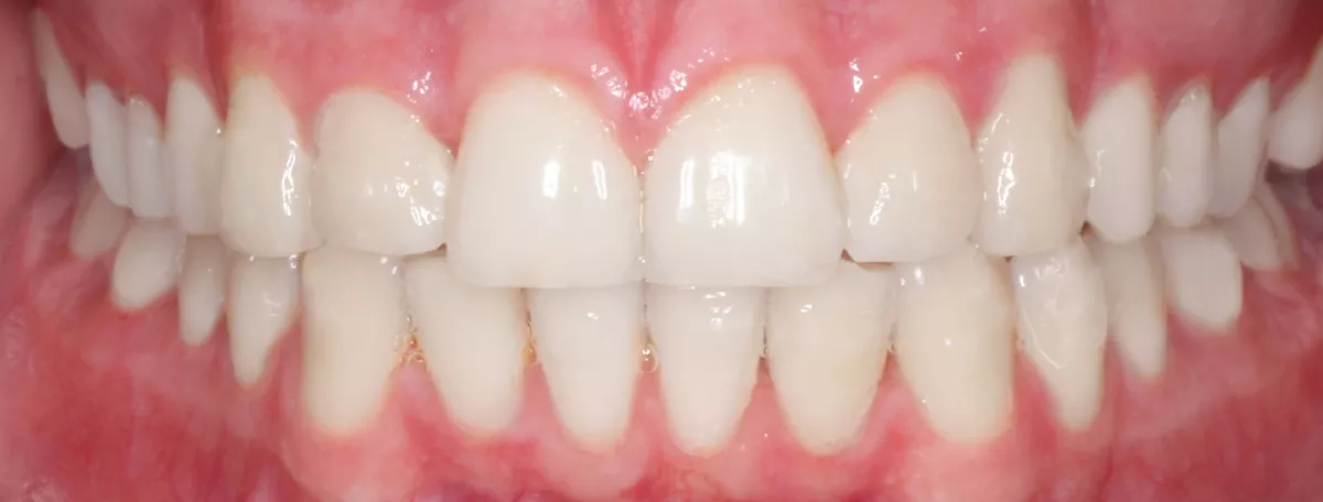
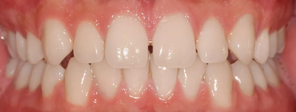
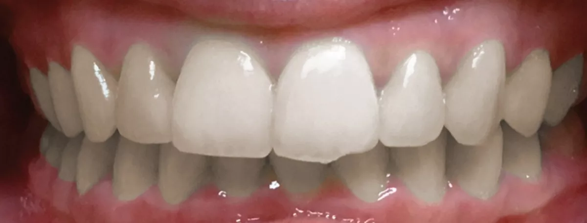
Cazuri reale

Înainte și după folosirea Spark Clear Aligners

Alignerele transparente Spark au oferit rezultate impresionante în tratamentele pentru diverse tipuri de malocluzie. Cazurile tratabile pot include supramușcătura, spațierile dentare, ocluziile încrucișate, înghesuirile dentare și altele!

Descoperiți cu ochii dumneavoastră ce este posibil, explorând cazurile reale ale pacienților Spark mai jos. Utilizați bara glisantă de pe fiecare fotografie pentru a observa diferențele remarcabile dintre „înainte” și „după” utilizarea alignerelor transparente. Alignerele Spark nu doar că oferă rezultate impresionante, ci sunt și mai clare, mai confortabile și mai eficiente.

Ocluzie Deschisă

 

Înainte

După

Ocluzie Încrucișată

 

Înainte

După

Diastemă

 

Înainte

După

Ocluzie Adâncă

 

Înainte

După

Înghesuire Dentară

 

Înainte

După

Ocluzie Inversă

 

Înainte

După

Luați legătura cu noi pentru orice întrebare

Dacă aveți nelămuriri legate de tratamente, programări sau doriți o a doua opinie, echipa Smile Spot vă stă la dispoziție pentru a vă oferi informații clare și recomandări adaptate situației dumneavoastră.

Contactați-ne