Aparate dentare

Îngrijire Ortodontică Personalizată

Tratăm fiecare zâmbet cu grijă, oferind aparate dentare adaptate fiecărui pacient. Cu tehnologie modernă și proceduri delicate, corectăm alinierea dinților pentru un rezultat estetic și funcțional.

Spark

Detalii

Invisalign

Detalii

Iconix

Detalii

Aparat dentar metalic

Detalii

Aparat dentar fizionomic

Detalii

Disjunctor

Detalii

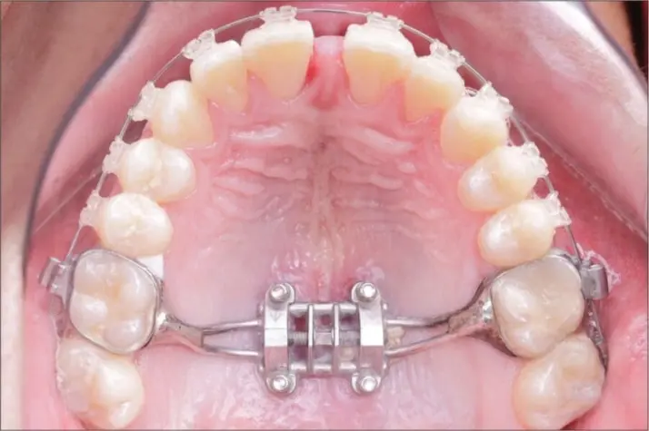
Disjunctor ancorat pe mini-implant

Detalii

Ortoimplant (mini-implant)

Detalii

Luați legătura cu noi pentru orice întrebare

Dacă aveți nelămuriri legate de tratamente, programări sau doriți o a doua opinie, echipa Smile Spot vă stă la dispoziție pentru a vă oferi informații clare și recomandări adaptate situației dumneavoastră.

Contactați-ne